
Ausies skausmą sukeliančios ligos
AUSIES SKAUSMĄ SUKELIANČIOS LIGOS
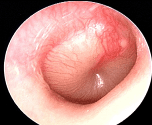
Ausies skausmas – vienas dažniausių skundų, dėl kurių pacientai kreipiasi į bendrosios praktikos gydytojus ir gydytojus otorinolaringologus. Ausies inervacija sudėtinga, todėl ausies skausmas gali atsirasti ir dėl pačios ausies patologijos (64 pav.), ir dėl kitų organų patologijos. Dėl šios priežasties kartais nelengva diagnozuoti tikslią ausies skausmo priežastį, taip pat nelengva nustatyti ausies skausmo priežastį mažiems vaikams dėl anatominių jų ausų ypatumų.
Tiriant ligonį dėl ausies skausmo labai svarbu surinkti anamnezę, išsiaiškinti įvairius skausmo aspektus: trukmę, lokalizaciją ir intensyvumą.
Skausmo pradžia ir trukmė. Ilgą laiką trunkantis ausies skausmas gali būti dėl lėtinės infekcijos. O daugeliui ūminių susirgimų, tokių kaip ūminis vidurinis otitas, išorinis otitas, ausies furunkulas, būdingas stiprus ir staiga prasidėjęs ausies skausmas.
Skausmo intensyvumas. Stiprus ir ūmus skausmas dažniausiai yra otogeninės kilmės, o vidutinis ar silpnas ausies skausmas dažniausiai kyla dėl kitų organų patologijos.
Gretutiniai veiksniai. Ausies kaušelio judinimas stiprina ausies skausmą sergant išoriniu otitu, ausies furunkulioze ar perichondritu. Skausmo sustiprėjimas judinant žandikaulį būdingas smilkininio apatinio žandikaulio sąnario patologijai, išorinės klausomosios landos furunkului. Reikėtų įtarti barotraumą,
jei prieš tai ligonis nardė ar skrido lėktuvu. Išskyros iš ausies, prikurtimas, ūžesys ir svaigimas būdingi otogeninės kilmės skausmui. Skausmas ausyje gali būti dėl faringito ar tonzilito, dantų ir dantenų patologijos. Atsirūgimas, rėmens graužimas būdingas gastroezofaginiam refliuksui.
Daugybiniai somatiniai skundai gali būti susiję su psichogeninės kilmės ausies skausmu.
Ausies skausmo priežastys yra skirstomos į dvi grupes:
Skausmas dėl patologijos ausyje;
Antrinės kilmės ausies skausmas, kai yra kitų organų patologija.

Lentelė. Dažniausios ausies skausmo priežastys
Skausmas dėl patologijos ausyje
Išorinė ausis:
išorinis otitas,
išorinės ausies furunkuliozė,
įstrigęs sieros kamštis,
svetimkūnis,
trauma,
terminiai pažeidimai,
perichondritas,
celiulitas,
Herpes zoster,
myringitas,
augliai.
Vidurinė ausis:
ūminis vidurinis otitas,
barotrauma,
trauminė būgnelio perforacija,
mastoiditas,
augliai.
Antrinės kilmės skausmas
Skausmas dėl trišakio (n.trigeminus) nervo šakučių dirginimo.
Skausmas dėl veidinio (n.facialis) nervo šakučių dirginimo.
Skausmas dėl paliežuvinio-ryklės (n.glossopharyngeus) nervo šakučių dirginimo.
Skausmas dėl klajoklio (n.vagus) nervo šakučių dirginimo.
Skausmas dėl kaklinių nervų šakučių dirginimo.
Smilkinkaulio ir apatinio žandikaulio sąnario patologija.
Dantų patologija.
Skausmas dėl migrenos.
Psichogeninės kilmės skausmas.
Ausies skausmas dėl patologijos ausyje
Išorinė ausis
Išorinis otitas
Tai išorinės ausies landos uždegimas. Dažnas maudymasis, drėgnas klimatas, šiluma, lokali trauma, kuri gali atsirasti valant ausį, – tai veiksniai, turintys įtakos susirgimui. Tai antra dažniausia (po skausmo dėl ūminio otito) ausies skausmo priežastis.
Etiologija. Dažniausiai išorinį otitą sukelia Pseudomonas aeruginosa, Staphylococcus aureus, S.epidermidis, Steptococcus rūšies sukėlėjai, Enterobacter, Proteus mirabilis, Klebsiella pneumoniae, Candida, aspergillus. Klinika. Sergant išoriniu otitu pagrindinis ligonio skundas – ausies skausmas,
kuris sustiprėja tempiant ausies kaušelį arba spaudžiant kramslį (tragus). Skausmas atsiranda dėl nervinių galūnėlių spaudimo išorinėje klausomojoje landoje.
Kadangi landos oda tiesiogiai jungiasi su antkremzliu ir antkauliu, tai dažnai klinikinis vaizdas neatitinka skausmo intensyvumo. Be skausmo ausyje, ligonis skųsis klausos pablogėjimu, kuris atsiranda vėliau, negu skausmas, ausies užgulimu,perštėjimu, niežuliu landoje, galimos išskyros iš ausies. Jei išskyros tamsios spalvos – galima įtarti aspergillus sukeltą išorinį ostitą.
Diagnostika. Otoskopuojant matyti paburkusi, paraudusi išorinė klausomoji landa. Jei procesas ypač aktyvus, galime net nematyti landos spindžio, būgnelis dažnai būna paraudęs, sustorėjęs. Landoje stebimos klampios, dvokiančios išskyros.



Pav. Gydymas. Gydant išorinį otitą būtina kruopščiai išvalyti išorinę klausomąją landą. Jei landos spindis siauras dėl ryškios edemos, rekomenduojama iš pradžių taikyti marlinius tamponėlius, suvilgytus susp. hydrocortisoni, antibiotikų ar priešgrybeliniu tepalu priklausomai nuo sukėlėjo rūšies. Dažniausiai naudojami tepalai turintys savo sudėtyje aminoglikozidų (neomicino – Ung. Baneocin) arba antibiotiko ir kortikosteroido mišiniai (ung. Flucinar, ung. Fucicort). Tamponėlį reikėtų keisti kas 24–48 valandas. Vėliau, atslūgus landos paburkimui, į ausį galima lašinti antibiotikų tirpalus (fluorochinolonų grupės- Ciloxan 0.3%, sudėtinių antibiotikų ir kortikosteroidų lašus- Maxitrol, Dexona), taikyti lazerioterapiją. Jei uždegimas palietė vidurinę ausį ir vietinis antibiotikų poveikis per silpnas, vangi ligos eiga, uždegimas užtruko, pasikartojo po prieš taikyto vietinio gydymo rekomenduojama skirti sisteminius antibiotikus. Taip pat svarbu paskirti stiprius skausmą malšinančius preparatus, nes skausmas esant išoriniam ausies uždegimui – pagrindinis ir nemaloniausias nusiskundimas.
Nesant teigiamam efektui, uždegimui dažnai kartojantis būtina paimti pasėlį iš ausies sukėlėjui nustatyti ir pagalvoti apie grybelinę infekciją ar apie kitas odos ligas. Gydymo metu ir pasibaigus gydymui svarbu ausį saugoti nuo vandens kaip faktoriaus palaikančio uždegimą išorinėje klausomojoje landoje.
Išorinės ausies furunkuliozė
Priekinis išorinės klausomosios landos trečdalis yra kremzlinis, du užpakaliniai trečdaliai – kauliniai. Kremzlinės dalies odoje yra riebalinių liaukų, plaukų folikulų, sierą gaminančių liaukų. Išorinės klausomosios landos furunkuliozė yra kremzlinės odos dalies struktūrų uždegimas, kuris dažniausiai atsiranda dėl odos
vientisumo pažeidimo dėl mikrotraumų.
Etiologija. Iš sukėlėjų vyrauja gramteigiami kokai (S.aureus).
Klinika ir diagnostika. Ligos simptomai panašūs į išorinio otito sukeltussimptomus, tačiau skausmas būna intensyvesnis, sustiprėja kramtant ar valgant maistą. Apžiūrint išorinę klausomąją landą matomas ribotas, rausvas ir skausmingas darinys.


Gydymas. Furunkuliozė gydoma taikant sisteminius ir vietinio poveikio antibiotikus, analgetikus, retais atvejais taikoma pūlinio incizija ir drenavimas.
Įstrigęs sieros kamštis
Pakitusios liaukos, išsidėsčiusios klausomosios angos viršutinėje sienelėje, išskiria ausies sierą (lot. cerumen), kuri apsaugo ausį, kad į ją nepatektų pašalinių medžiagų, tokių kaip oro teršalai, saugo išorinę klausomąją landą nuo sužalojimų. Sveikoje ausyje susidariusi siera, epidermio sankaupos savaime pasišalina kramtymo metu. Veikiant įvairiems veiksniams siera iš ausies visiškai nepasišalina ir kaupiasi išorinėje klausomoje landoje, ilgainiui suformuodama sieros kamštį. Dažnas ausies valymas krapštukais, stimuliuoja sieros gamybą arba jau susidariusią sierą nustumia link būgnelio taip suformuodamas sieros kamštį.

Klinika.Ligoniai skundžiasi landos niežėjimu, ausies užgulimu, klausos pablogėjimu. Dažniausiai šie simptomai pasireiškia po išsimaudimo, pabuvus pirtyje, kai patekus vandeniui, sieros kamštis išbrinksta ir sukelia minėtus simptomus. Jei sieros kamštis susidarė prie būgnelio, tai jo judesiai gali sukelti skausmą ausyje.
Gydymas.
Sieros kamštis dažniausiai šalinamas jį išplaunant, atsiurbiant siurbliu. Jei nepavyksta jo pašalinti, skiriami sieros kamštį minkštinantys riebaliniai lašai (Tropex, Cerustop, Waxol). SvetimkūnisSvetimkūnis išorinėje klausomojoje landoje dažniau aptinkamas vaikams, taip pat patyrus traumas ar pabuvus miške.


Klinika. Ligoniai, kurių išorinėje klausomojoje landoje yra svetimkūnis, gali skųstis skausmu, ypač jei svetimkūnis aštriomis briaunomis, klausos pablogėjimu, ausies užgulimu.
Gydymas. Daugelį svetimkūnių galima pašalinti juos išimant žnyplutėmis arba išplaunant, tačiau įstrigusį svetimkūnį, taip pat tais atvejais, kai vaikas nesiduoda apžiūrimas, indikuotina intraveninė nejautra. Jei svetimkūnis – vabalas ar vabzdys, pirmiausia reikėtų jį numarinti į ausį sulašinus riebalų, vėliau išplauti ar ištraukti žnyplutėmis.
Trauma
Išorinė klausomoji landa ar ausies kaušelis gali būti sužeisti krapštant ausį arba traumuojant nelaimingų atsitikimų ir avarijų metu. Tokių traumų metu atsiranda
ausies nubrozdinimai, sumušimai, mėlynės ir didesnės poodinės hematomos. Boksininkams, imtynininkams dėl dažno ausies kaušelio deformavimo pakinta jo forma ir tokia ausis vadinama boksininko arba kalafioro ausis. Susidariusias hematomas reikia punktuoti arba atverti, jas drenuoti, pažeidimo vietoje uždėti spaudžiamą tvarstį, paskirti antibiotikus dėl galimo hematomos supūliavimo. Jei yra išorinės klausomosios landos pažeidimas, landą tikslinga sutepti antibiotikų tepalu (Ung. Baneocin).


Terminiai ausies pažeidimai
Pabuvus ilgesnį laiką šaltame ore ir neapsaugojus ausų nuo šalčio, galimas ausies kaušelio nušalimas. Taip pat ilgesnį laiką veikiant karščiui ar saulės spinduliams
galimas ausies kaušelio nudegimas.Iš pradžių jaučiamas ausies kaušelio nutirpimas, vėliau atšilus kaušelis patinsta, būna skausmingas, parausta. Taip pat gali atsirasti didesnių ar mažesnių skausmingų pūslelių. Esant pirmo laipsnio nušalimui ar nudegimui pažeidžiamas tik paviršinis epitelis. Esant antro laipsnio pažeidimui atsiranda skausmingų pūslelių. Trečio laipsnio pakenkimo atveju pažeidžiami visi odos sluoksniai, atsiranda odos nekrozės židinių.
Perichondritas
Ausies kaušelio ar išorinės klausomosios landos perichondritas dažniausiai atsiranda dėl traumos arba kaip išorinio otito komplikacija. Stebimas ausies kaušelio sutinimas, paburkimas, skausmingumas liečiant. Dėl prastos kaušelio antkremzlio mitybos, galimas bakterinis (dažniausiai streptokokinis) jo pažeidimas. Jei perichondritas blogai gydomas, galima kremzlės nekrozė ir ilgalaikė kaušelio deformacija.

Herpes zoster pažeidimas
Herpes zoster pažeidimo atveju ligoniai skundžiasi stipriu, dažniausiai vienpusiu ausies skausmu. Taip pat susirgimui būdingas pūslelinis ausies kaušelio ir išorinės ausies landos bėrimas. Susirgimas gydomas skausmą malšinančiais, priešvirusiniais ir steroidiniais preparatais.
Myringitas
Tai ausies būgnelio uždegimas, kai nepažeista vidurinė ausis. Ant paraudusio būgnelio matyti kraujingų arba serozinių pūslelių. Ligoniai skundžiasi ypač stipriu ausies skausmu, gali pablogėti klausa. Gydant skiriami skausmą malšinantys vietinio (Otinum, Otipax) ir sisteminio poveikio preparatai.

Vidurinė ausis
Ūminis vidurinės ausies uždegimas (ūminis otitas). Tai vidurinės ausies gleivinės uždegimas. Ūminis vidurinis otitas – dažniausia ausies skausmo priežastis. Ūminiu viduriniu otitu gali sirgti ir kūdikiai, ir senyvo amžiaus žmonės.
Etiologija. Dažniausi ligos sukėlėjai yra virusai: adenovirusai, enterovirusai. Taip pat ligą sukelia ir bakterijos: Streptococcus pneumoniae, Haemophilus influenzae, Branhamella catarrhalis. Ūminiu viduriniu otitu dažniau serga vaikai iki 3 metų, nes jų klausomasis vamzdis yra trumpesnis, horizontalesnis
nei vyresnių vaikų ar suaugusių, taip pat tokio amžiaus vaikai gerokai dažniau serga viršutinių kvėpavimo takų infekcija. Susirgimui taip pat turi įtakos tėvų rūkymas, blogos gyvenimo sąlygos, gausi šeima, bloga vaiko priežiūra.
Sergamumas dažnesnis žiemos mėnesiais. Infekcija į vidurinę ausį patenka per klausomąjį vamzdį iš nosiaryklės. Infekciją iš išorės į vidurinę ausį gali patekti tik esant būgnelio perforacijai.
Klinika. Viduriniu otitu sergantis ligonis dažniausiai skundžiasi stipriu ausies skausmu, subfebriliu karščiavimu, klausos pablogėjimu. Ausies skausmas atsiranda dėl vidurinės ausies gleivinės uždegimo ir eksudato (pūlių) spaudimo į pakenktą būgnelį ir būgninės ertmės gleivinę. Sekrecija iš ausies nebūdinga, o jos atsiradimas rodo, kad būgnelis pratrūko. Pratrūkus būgneliui skausmo intensyvumas dažniausiai sumažėja arba išnyksta, sumažėja temperatūra.

Diagnostika. Otoskopuojant matomas paraudęs, paburkęs ir išpūstas būgnelis, sumažėjęs jo judrumas, nesimato būgnelio anatominių struktūrų. Mažiems vaikams skausmingas krampslio (tragus) spaudimas. Vaikai būna neramūs, nevalgo, dažnai ir be priežasties verkia. Tiriant ligonio klausą beveik visada nustatomas jos susilpnėjimas. Kamertoniniai tyrimai: Weberis lateralizuoja į pažeistą pusę, Rinne neigiamas uždegimo pažeistoje pusėje. Timpanometrija pažeistoje pusėje būna B tipo, audiogramoje nustatomas garsą pravedančios sistemos pakenkimas, kartais kai pažeidžiamas ir klausos nervas – mišrus klausos pakenkimas.
Gydymas. Ūminis vidurinės ausies uždegimas gydomas skausmą ir uždegimą mažinančiais vaistais (Ibuprofen, Nimesil, Diclofenac), anemizuojančiais lašais į nosį (Xymelin, Otrivin, Olynth, Vybrocil), sisteminio poveikio dekongestantais (Clarinase, Cirrus). Jei ligoniui pakyla temperatūra, išreikštas skausminis sindromas, per 48–72 valandas nuo ligos pradžios pablogėja bendra būklė, tikslinga paskirti antibiotikus. Pirmo pasirinkimo antibiotikas yra amoksicilinas. Jei anksčiau skirtas amoksicilinas neturėjo gero terapinio efekto, tada tikslinga skirti amoksiciliną su klavulano rūgštimi (Amoksiclav, Augmentin, Curam, Medoclav) arba ampiciliną su sulbaktamu (Unasyn). Antibiotiką reikėtų skirti ne mažiau kaip 7-10 dienų. Taip pat galima taikyti šildomus kompresus ant nesveikos ausies.
Antibiotikų lašai skiriami tik kai yra būgnelio perforacija. Skausmui sumažinti galima skirti vietinio poveikio nuskausminamuosius lašus (Otinum, Otipax).
Barotrauma (Aerotitis media)
Barotrauma išsivysto tada, kai slėgio pasikeitimai išorinėje klausomojoje landoje viršija raumenų, atveriančių klausomojo vamzdžio nosiaryklinę angą, pajėgumą. Atsiradęs staigus slėgių skirtumas stipriai įtraukia ar išpučia būgnelį, sukeldamas aštrų skausmą ir būgnelio pažeidimą. Aštrus, ūmus ausies skausmas, kartais kartu su klausos pablogėjimu ir ūžesiu ausyse, susijęs su skraidymu lėktuvais, nardymu, gali reikšti barotraumą. Barotrauma gydoma skausmą mažinančiais preparatais, kartais reikalingas klausomojo vamzdžio prapūtimas.
Trauminė būgnelio perforacija
Trauminė būgnelio perforacija sukeliama tiesiogiai pradūrus būgnelį, pliaukštelėjusper ausį, sprogimo metu ar dėl barotraumos. Labai dažnai trauminė būgnelio perforacija įvyksta nukritus į vandenį čiuožiant vandens slidėmis. Būdingas stiprus ir staigus ausies skausmas, susijęs su trauma, kuris vėliau sumažėja, staigus klausos pablogėjimas, ūžesys. Otoskopuojant matyti šviežio kraujo išorinėje klausomojoje landoje, matoma būgnelio perforacija nelygiais kraštais. Nedidelės perforacijos sugyja savaime, tačiau reikėtų saugoti, kad į ausį nepatektų vandens. Didesnės perforacijos, ypač kai užsilenkia kraštai, gydomos chirurgiškai, atliekant timpanoplastiką. Jei perforacija atsirado įkritus į vandenį ar pradūrus būgnelį, supūliavimo profilaktikai reikėtų apie savaitę laiko palašinti antibiotikų lašų į pažeistą ausį. Taip pat reikėtų vengti vandens patekimo į pažeistą ausį kol būgnelis sugis ar bus atlikta operacija.

Mastoiditas
Tai speninės smilkinkaulio ataugos gleivinės uždegimas su kaulinių pertvarėlių destrukcija. Dažniausiai mastoiditas išsivysto netinkamai gydant ūminį vidurinį
otitą.
Klinika. Sergant ūminiu viduriniu otitu ligonio būklė laikinai pagerėja, o vėliau pakyla aukšta temperatūra, sustiprėja ausies skausmas, intensyvėja pūliavimas iš ausies, patinsta, parausta užausinė sritis, atvėpsta ausies kaušelis. Būdingas išorinės klausomosios landos kaulinės dalies užpakalinės ir viršutinės sienos odos padribimas. Palpuojant labai skausminga užausinė sritis.


Gydymas. Mastoiditas gydomas intraveniniais antibiotikais, mažiems vaikams įpjaunamas būgnelis (timpanotomija), įstatomas ventiliacinis vamzdelis,
būklei negerėjant atliekama skubi operacija – mastoidektomija.
Antrinės kilmės ausies skausmas, kai yra kitų organų patologija Juntamoji ausies inervacija gaunama iš V (trišakio nervo, n.trigeminus), VII (veidinio nervo, n.facialis), IX (liežuvinio-ryklės nervo, n.glossopharyngeus) ir X (klajoklio nervo, n.vagus) galvos nervų, taip pat iš I, II kaklinių nervų šakų. Bet kurio organo patologija šių nervų inervuojamose srityse dėl bendros inervacijos gali sukelti skausmą ausyje. Esant antrinės kilmės ausies skausmui nebūdingas klausos
susilpnėjimas, išskyros iš ausies. Trišakio nervo (n.trigeminus) 3-osios šakos (apatinio žando nervo, n.mandibularis) viena iš šakų – ausinis smilkinio nervas (n.auriculotemporalis) inervuoja ausies kaušelio priekinės dalies ir smilkinio odą, priekinės ir viršutinės išorinės klausomosios landos sienų odą, priekinę būgnelio dalį. Trišakio nervo šakos taip pat inervuoja veidą, kaukolę, burną, dantis, nosį, nosies ertmę, prienosinius ančius, orbitą, smilkininį apatinio žandikaulio sąnarį ir paausinę seilių liauką. Skausmas, kilęs bet kuriame iš šių organų, gali sukelti ausies skausmą. Dažniausiai ausies skausmas atsiranda dėl dantų patologijos: ėduonies, pulpito, skausmingo dygimo. Taip pat dažnai ausies skausmas atsiranda dėl stomatito, gingivito, sinusito, paausio seilių liaukos akmenligės, kiaulytės. Smilkininio apatinio žandikaulio sąnario patologija dažniau pasitaiko suaugusiems žmonėms. Šio sąnario patologija pasireiškia skausmingu kramtymu, jautrumu, ribotu judesiu, spragsėjimu judinant žandikaulį. Ausies skausmas dėl šio sąnario patologijos dažniausiai vienpusis, stipresnis rytais. Skausmas sustiprėja kramtant, judinant žandikaulį.
Veidinio nervo (n.facialis) pagrindinės šakos yra motorinės, tačiau čia yra ir juntamųjų šakelių, kurios inervuoja užpakalinę būgnelio dalį, užpakalinės išorinės klausomosios landos sienos odos dalį, ausies kaušelio dalį, užpakalinę ausies spenelio dalį ir odą virš speninės ataugos. Pacientai, sergantys Belo paralyžiumi, dažnai skundžiasi ausies skausmais daugiau ties speninės ataugos viršūne. Pacientai, sergantys Ramsay Hunt sindromu (Herpes zoster oticus), skundžiasi stipriu ausies skausmu, pūsleliniu bėrimu ant ausies kaušelio ir klausomojoje landoje. Jiems taip pat nustatomas veidinio nervo paralyžius, skonio sutrikimas, galvos svaigimas, klausos sutrikimai ir ūžesys. Ausies skausmas gali išlikti ilgą laiką išnykus pūslelėms nuo ausies.
Liežuvinio ryklės nervo (n.glossopharyngeus) šakos inervuoja vidurinės ausies gleivinę, klausomąjį vamzdį, užpakalinės išorinės klausomosios landos sienos
odą, speninės ataugos ląsteles. Šio nervo šakos taip pat inervuoja ryklę, gomurines tonziles, užpakalinį liežuvio trečdalį. Angina, faringitas, ryklės pūliniai,
svetimkūniai, įstrigę tonzilėje ar liežuvio šaknyje, gali sukelti ausies skausmą. Dažnai ligoniai ausies skausmu skundžiasi po ryklės operacijų.
Klajoklis nervas (n.vagus) per savo ausinę šakelę inervuoja apatinės ir užpakalinės išorinės klausomosios landos sienos odą, užpakalinę būgnelio dalį, ausies
kaušelio dalį. Šis nervas taip pat inervuoja gerklas, trachėją, stemplę, skydliaukę, plaučius ir pilvaplėvę. Stemplės ir gerklų svetimkūniai, tiroiditas, stemplės uždegimas, gastroezofaginis refliuksas gali sukelti skausmą ausyje.Kaklinių nervų (didžiojo ausies nervo, n.auricularis magnus ir mažojo pakaušio nervo, n.occipitalis minor) šakos inervuoja užpakalinę ausies kaušelio dalį, užausinę sritį, pakaušio sritį, taip pat kaklo ir stuburo odą bei raumenis. Dėl to kaklo limfadenitas, stuburo slankstelių patologija, kaklo augliai ir sužeidimai gali sukelti ausies skausmą.
Kitos ausies skausmo priežastys
Migrena. Migrena pasireiškia priepuolinio pobūdžio galvos skausmais, kurie dažniausiai lokalizuojasi kaktos ir smilkinių projekcijose, pykinimu, vėmimu, fotofobija. Tokie ligoniai kartais skundžiasi ir ausies skausmu.
Psichogeninės kilmės ausies skausmas. Psichogeninę ausies skausmo priežastį galima įtarti tada, kai ligonį kankina nerimas, depresija, emocinis stresas,
kai yra ryškus skirtumas tarp ligonio skundų ir objektyvių tyrimo rezultatų, yra ir kitų somatinių nusiskundimų, nerandamos kitos ausies skausmo priežastys.
